Hours
Tue 9:00AM-5:00PM
Wed 9:00AM-5:00PM
Thu 9:00AM-5:00PM
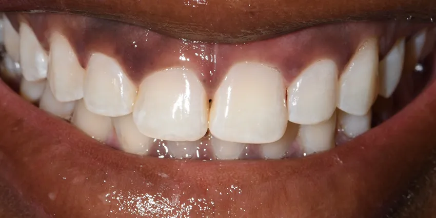
Many patients step into our practice with dreams of a brand new smile. Others are looking to repair damage and get their oral health back on track. Seeing these individuals walk out our doors with a strong smile and newfound confidence is the reason behind our mission here at Overhill Dental. No matter your goals, we are honored to be a part of your oral health journey. Take a look at our Before & After gallery to explore real patient stories!

















